Mastering Fetal Echo Training, A Key to Sonography Success
Sonography, a critical component of prenatal care, requires a meticulous understanding of fetal echo training and the complex world of imaging planes.
Dr. Johannes Steinhard, Head of Fetal Cardiology Department, HDZ-NRW, Ruhr-Universitat Bochum, Bad Oeynhausen, Germany gave a presentation at the ISUOG World Congress, which shed light on how simulator-based training could redefine the way medical professionals learn the art of prenatal sonography.
See a presentation of the study here.
The insights shared in the presentation underscore the significance of mastering fetal echo training and understanding various imaging planes, ultimately ensuring the health and well-being of both mother and child.
The Importance of Fetal Echo Training
Fetal echocardiography, often referred to as fetal echo, is an essential skill for medical professionals in the realm of obstetrics and prenatal care. This specialized diagnostic procedure involves the use of ultrasound to examine the fetal heart, identify potential abnormalities, and ensure its healthy development. Early detection of heart issues and anomalies is crucial for timely medical intervention and better outcomes.
Dr. Steinhard emphasized that late diagnoses can lead to adverse consequences, underscoring the need for expertise in fetal echo training. A solid foundation in this skill ensures that practitioners can perform a thorough examination of the fetal heart, contributing to the overall well-being of both the expectant mother and her unborn child.
The Role of Imaging Planes
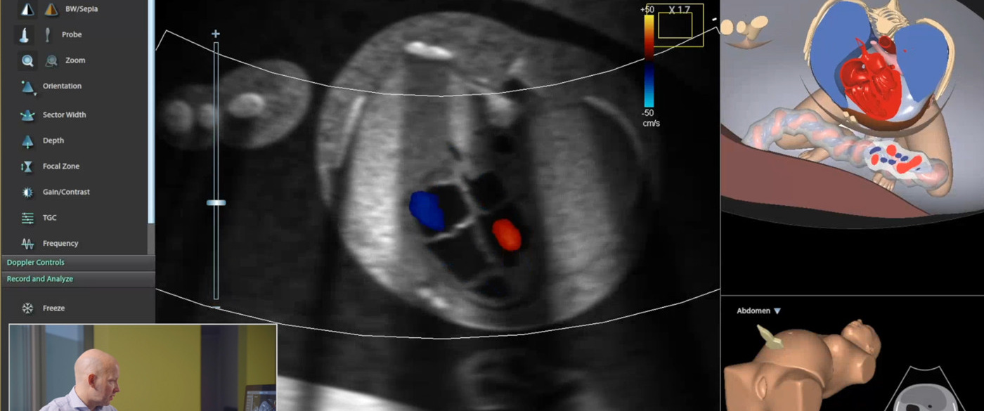
Mastering fetal echo training goes hand in hand with understanding the intricacies of imaging planes. Imaging planes are the key to visualizing the fetal heart from different angles, enabling practitioners to obtain comprehensive and accurate diagnostic information. Dr. Steinhard's presentation illustrated how various imaging planes are used to examine the fetal heart, providing a comprehensive view of its structure and function.
Simulator-Based Learning
In the pursuit of excellence in fetal echo training, Dr. Steinhard's presentation introduced an existing approach used by multiple medical specialties, but with a potential to be more widely used within fetal echo training: simulator-based learning. The Ultrasound Mentor simulator by Surgical Science was highlighted as a powerful tool for training medical professionals in mastering fetal echo techniques.
This validated approach involved a phased training process, starting with an introduction to the simulator and hands-on practice. The pivotal aspect of the training was the encouragement of independent practice, allowing students and physicians to refine their skills with minimal assistance. The results, as presented by Dr. Steinhard, were significant. Participants in the training program exhibited improvements in their scanning skills, eventually reaching a proficiency level equivalent to that of experts in the field.
The Path to Excellence
The mastery of fetal echo training and understanding various imaging planes is vital for medical professionals practicing prenatal sonography. Dr. Steinhard's presentation showcases the potential of simulator-based learning in achieving these skills. The early detection of heart abnormalities through precise fetal echo training contributes to the health and well-being of expectant mothers and their unborn children.
As the medical community seeks to provide the highest standards of prenatal care, Dr. Steinhard's insights reveal the potential for simulator-based learning to bridge the gap between theoretical knowledge and practical expertise. The journey to excellence in prenatal sonography and fetal echo training begins with the understanding of imaging planes and the utilization of innovative training methods, ultimately ensuring healthier outcomes for both mother and child.
Presentation by: Dr. Johannes Steinhard, Head of Fetal Cardiology Department, HDZ-NRW, Ruhr-Universitat Bochum, Bad Oeynhausen, Germany.
Learn more


